TOR prende trio com cápsulas de cocaína no estômago
A equipe do Tático Ostensivo Rodoviário (TOR) prendeu dois homens e uma mulher, todos de nacionalidade boliviana, por envolvimento com tráfico de drogas na tarde desta sexta-feira (23), em Itu.
A ocorrência foi registrada por volta das 12h, no km 77 da Rodovia Presidente Castello Branco (SP-280), pista Leste, durante patrulhamento da equipe do TOR do 5º Batalhão de Polícia Rodoviária (5º BPRv).
Abordagem às margens da rodovia
Os policiais abordaram o trio enquanto caminhava às margens da rodovia. Durante revista pessoal, foram localizadas cápsulas de pasta base de cocaína com os três suspeitos.
Diante da suspeita de ingestão de entorpecentes, os envolvidos foram encaminhados ao CHS (Centro Hospitalar de Sorocaba) para realização de exames médicos.
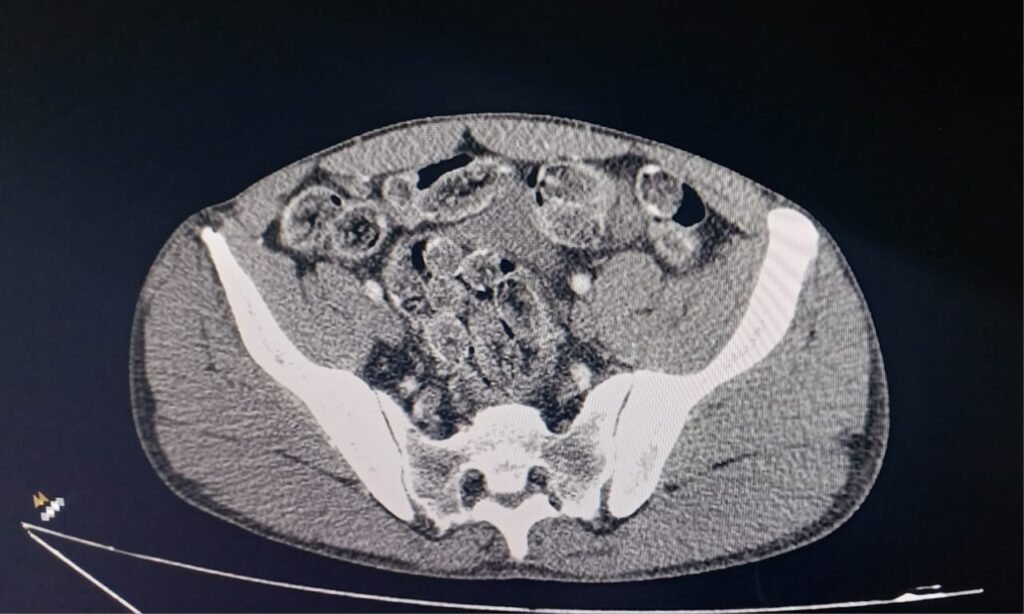
Drogas no organismo
Após exames de imagem, foi constatado que os dois homens transportavam mais cápsulas de droga no interior do organismo e permaneramm internados para expelir o restante do material.
A mulher, que não apresentava droga no organismo, foi encaminhada à Delegacia da Polícia Federal de Sorocaba, juntamente com o entorpecente já apreendido, onde a ocorrência foi registrada.
A Polícia Federal dará prosseguimento às investigações.
